application process
Please email(nycu.saic@gmail.com), confirm the experimental content and related parameter settings with the operator, after confirmation, you must pass【National Science Council Basic Research Core Facility Reservation Service Management System】Log in to make an appointment and obtain the electronic appointment serial number before accepting the appointment.
Basic Service-Biology
- Update Date:2025-04-16
- Units:Instrumentation Resource Center
Small Animal Computed Tomography
- Milabs U-CTHR
- Instrument expert: Prof. Lin, Ching-Po
On-campus extension 67338 - Management unit: Yangming Campus Small Animal Imaging Core of Brain Research Center
- Instrument consultation and operation service: Mr. You, Chung-Hsun
Direct call: (02) 2821-3571
Email: nycu.saic@gmail.com - Instrument location: East side of Experimental Animal Center on Yangming Campus
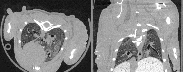
Milabs CT is capable of fast scanning and ultra-high-resolution scanning under low-dose X-rays, and the highest resolution can reach 10um.
- bone image

- lung imaging

- 3D surface image simulation of teeth

- Contrast vascular imaging 3D simulation

- It is currently open Monday to Friday from 9:00 am to 5:00 pm (closed on holidays).
- The rest of the period will be open after further announcement depending on the use of the equipment and the status of the technicians.
Make an appointment
- Please email(nycu.saic@gmail.com), confirm the experimental content and related parameter settings with the operator, after confirmation, you must pass【NSTC Basic Research Core Facility Reservation Service Management System】Log in to make an appointment and obtain the electronic appointment serial number before accepting the appointment.
- Because the operation of the instrument requires personnel with a license to operate the equipment that can generate ionizing radiation, it is currently operated by the management personnel on its behalf, and it is not open for personal operation for the time being.
- Services are billed in units of one hour.
- When the experiment exceeds the appointment time, if there are other units making an appointment later, the use can be extended for up to ten minutes with the consent of the unit; if there is no subsequent appointment by other units, the user can extend the use time. If the extension exceeds twenty minutes, the time will be charged , less than one hour is counted as one hour.
- Please arrive on time according to the reserved time slot. Latecomers are not allowed to delay the boarding. If you arrive 30 minutes late, you will be considered as a no-show and will cancel the time slot without refund. If you are late or do not show up many times, the facility will The user will be suspended.
Specifications for the use of the instrument
- Due to the limited storage space of the computer, the image files can be kept for a maximum of 30 days. If the machine is damaged, the files are not responsible for damage.
- Currently, general animals (bred on behalf of animal centers or in a temporary room approved by animal centers), tissue and cell samples are mainly used. Infectious animals and samples are temporarily closed.
- At present, only machine imaging services are provided, and analysis services, contrast agents (CT contrast agent, luminescence, etc....), anesthetics (isoflurane only provides gas anesthesia machines) and consumables (needles, black cardboard, etc....) are not provided.
- Gas anesthesia devices prohibit the use of gas anesthetics other than Isoflurane.
- Applying for angiography means agreeing to undertake the use of Isoflurane anesthesia or the administration of contrast agent during the angiography process. The animal may die during the experiment due to physical weakness or other irresistible factors, resulting in abnormal conditions such as hypothermia and respiratory distress.
- This core facility is not responsible for keeping items deposited by users.
- Each full-time staff of Yangming Chiaotung University has two hours of free operation hours to facilitate the acquisition of preliminary research materials (including the teacher himself can only use the free operation quota of three teachers at most).
- Article published in the name of Yangming Chaiotung University, and thanks to the small animal imaging core facility of Yangming Jiaotong University Brain Science Research Center in the acknowledgment section. Each article will be deducted the usage fee of the article equivalent to impact factor x hours (in rounds, less than one point is calculated by one point). Only one application can be made per article.
- thank you
We thank the Molecular Imaging Facility Small Animal Instrument Name and Brain Research Center at National Yang Ming Chiao Tung University for the technical support.
| unit of use | National Academy of Sciences | Non-Science Accounting |
|---|---|---|
| academic unit | NT$2,000/hour | NT$3,000/hour |
| Industrial unit | - | NT$4,000/hour |
- The equipment usage fee does not include the cost of luminescence, contrast agent, gas anesthesia agent and positron contrast agent.
- Consumables such as luminescent element, contrast agent and isoflurane must be provided by the user, which is not provided by this small animal imaging core facility.
Related Image(s):